라미네이트란?
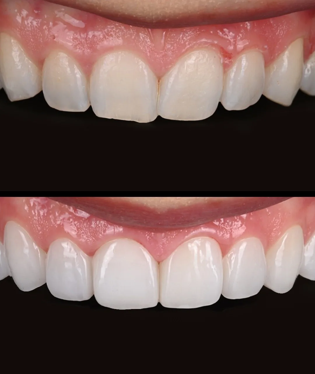
라미네이트는 치아의 형태·색·균형을 개선하기 위해 앞면에 얇은 특수 재질의 쉘을 부착하는 심미 치료입니다. 치아를 크게 깎지 않고도 미소 라인을 자연스럽게 개선할 수 있어 앞니 심미 개선을 원하시는 분들에게 선호되는 방법입니다.

치아 표면에 얇은 세라믹을 부착하여 색상과 형태를 개선하는 심미 치료입니다.
라미네이트는 치아의 형태·색·균형을 개선하기 위해 앞면에 얇은 특수 재질의 쉘을 부착하는 심미 치료입니다. 치아를 크게 깎지 않고도 미소 라인을 자연스럽게 개선할 수 있어 앞니 심미 개선을 원하시는 분들에게 선호되는 방법입니다.



불필요한 치아 삭제를 최소화하여 자연 치아의 손상을 가능한 한 줄이는 방식으로 진행합니다. 필요한 부분만 정교하게 다듬어 치아 본연의 구조를 최대한 보존하는 것이 목표입니다.
디지털 모의 디자인을 통해 환자 얼굴형·입술 라인·치아 배열을 고려한 개인 맞춤 심미 디자인을 제공합니다.
