네비게이션 임플란트란?
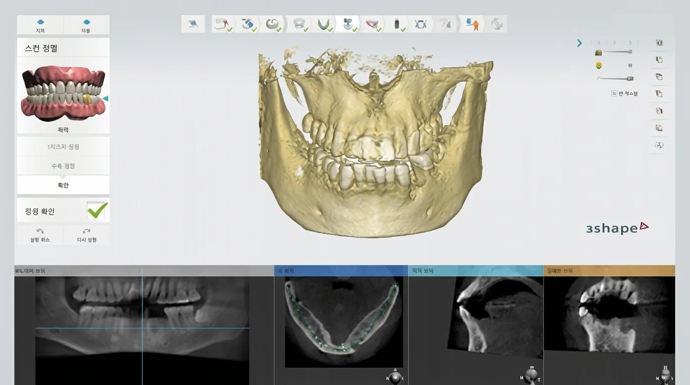
3D CT와 구강 스캔 자료를 기반으로 치조골의 두께·신경 위치·식립 방향 등을 입체적으로 분석한 뒤, 그 정보를 이용해 개인 맞춤형 수술 가이드를 제작하는 디지털 임플란트 방식입니다. 수술 가이드를 통해 실제 식립 위치를 미리 계획하여 식립 깊이, 각도, 방향의 오차를 줄이고 보다 안정적인 결과를 기대할 수 있습니다.
정확한 진단과 계획이 필요한 임플란트, 굿모닝뉴욕치과는 디지털 네비게이션 시스템을 활용하여 보다 예측 가능한 결과를 목표로 합니다.
3D CT와 구강 스캔 자료를 기반으로 치조골의 두께·신경 위치·식립 방향 등을 입체적으로 분석한 뒤, 그 정보를 이용해 개인 맞춤형 수술 가이드를 제작하는 디지털 임플란트 방식입니다. 수술 가이드를 통해 실제 식립 위치를 미리 계획하여 식립 깊이, 각도, 방향의 오차를 줄이고 보다 안정적인 결과를 기대할 수 있습니다.









굿모닝뉴욕치과는 ‘정확하고 섬세한 진료’를 지향하며, 임플란트는 단순한 시술이 아닌 오래 함께할 치료라고 생각합니다. 정확한 진단·면밀한 계획·안전한 절차를 바탕으로 환자분의 구강 상태를 세심하게 고려한 임플란트를 제공합니다.
