잇몸질환이란?
잇몸질환(치주질환)은 잇몸과 치아를 지지하는 뼈에 염증이 생기는 질환으로, 초기에 관리하면 회복이 가능하지만 방치하면 치아를 잃을 수도 있는 대표적인 구강질환입니다. 증상이 없어도 서서히 진행되기 때문에 정확한 진단과 꾸준한 관리가 중요합니다.

염증을 조기에 발견하고 관리해 자연치아를 오래 지키는 치료입니다.
잇몸질환(치주질환)은 잇몸과 치아를 지지하는 뼈에 염증이 생기는 질환으로, 초기에 관리하면 회복이 가능하지만 방치하면 치아를 잃을 수도 있는 대표적인 구강질환입니다. 증상이 없어도 서서히 진행되기 때문에 정확한 진단과 꾸준한 관리가 중요합니다.

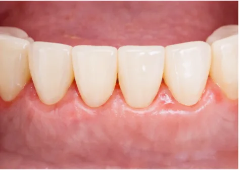
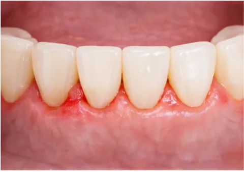
건강한 잇몸 → 잇몸염증 → 치주염 진행









증상, 생활 습관 등을 확인해 잇몸 건강 상태를 평가합니다.

필요 시 치과용 엑스레이 촬영을 통해 뼈와 잇몸의 염증 범위를 확인합니다.

치석과 세균막을 제거해 염증을 완화하고, 잇몸 회복을 돕습니다.

염증이 깊은 부위에 남은 세균을 제거하는 전문 잇몸치료입니다.

염증이 더 깊은 경우 잇몸과 치아 뿌리 주변을 정리하는 치료를 진행합니다.

환자분의 잇몸 상태에 맞춘 칫솔질, 보조도구 사용법을 안내합니다.

잇몸질환은 생활습관과 밀접해 재발이 잦은 질환으로 관리만 잘해도 자연치아 유지 기간이 크게 늘어납니다. 주기적인 정기검진(3~6개월)으로 염증 재발 여부 체크가 필수입니다.

잇몸치료의 목적은 치료 그 자체가 아닌, '자연치아를 오래 지키는 것'입니다.