치석과 치태를 제거하는 기본 잇몸관리, 스케일링
정기적인 스케일링은 잇몸 질환 예방의 가장 기본적이고 효과적인 방법입니다.
스케일링이 필요한 이유
치아와 잇몸 사이에 쌓이는 치태와 치석은 칫솔질만으로는 완전히 제거되지 않으며, 시간이 지나면 잇몸 염증·출혈·입냄새·풍치의 원인이 됩니다.
스케일링은 이러한 유해 물질을 제거해 잇몸 건강을 회복하고 치주질환을 예방하는 데 중요한 치료입니다.

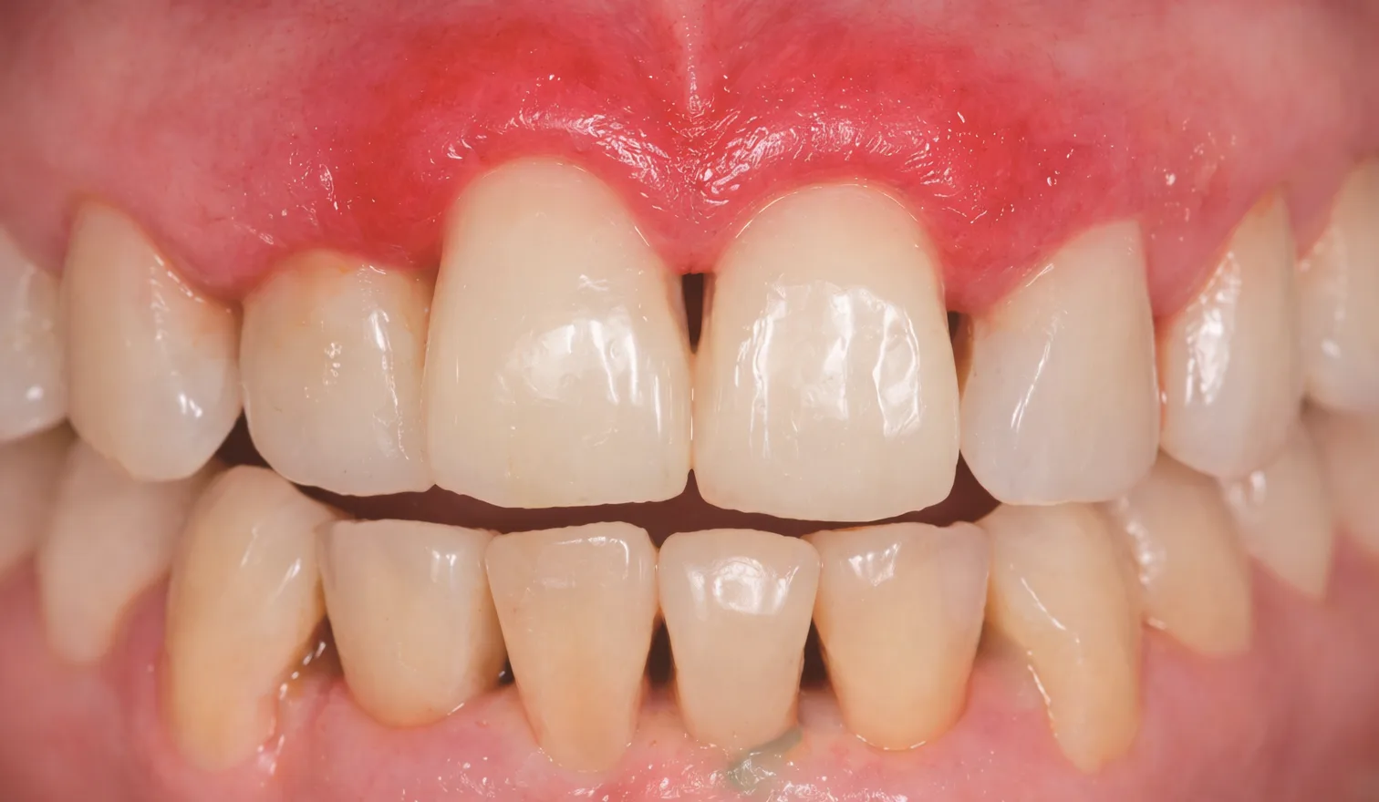
✓ 대표 증상
- - 칫솔질할 때 잇몸에서 피가 남
- - 잇몸이 붓고 누르면 통증
- - 치아에 누렇고 딱딱한 치석이 보임
- - 이유 없는 입냄새가 계속됨
단순한 시림이나 약한 출혈도 잇몸병 초기 신호일 수 있어요.
빠른 치료가 잇몸을 지키는 가장 좋은 방법입니다.

양치 시 피가 남

잇몸이 붓고 욱신거림

입 냄새가 심해짐

이가 흔들리는 느낌
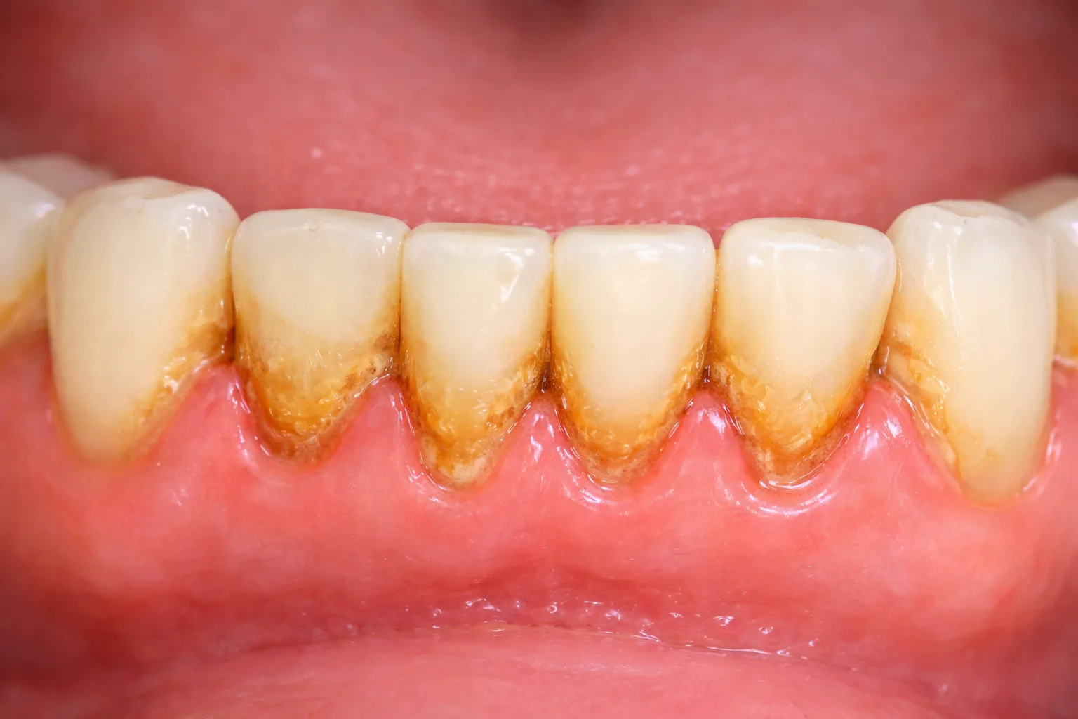
스케일링이 필요한 주요 원인
① 치석 형성 - 침 속 무기질이 치태와 결합해 단단한 치석으로 굳음
② 잇몸 염증(치은염·치주염) 초기 단계 - 치석 속 세균이 잇몸을 자극해 붓고 피가 남
③ 구강 위생관리 부족 - 흡연, 불규칙한 칫솔질, 교정 중 관리 어려움 등
④ 정기적 치과 방문 부족 - 6개월 이상 스케일링을 하지 않은 경우 치석이 축적되기 쉬움

잘못된 칫솔질 습관

치석/치태 누적

흡연/스트레스

기존 치료 관리 부족
스케일링 진행 과정
① 치석 및 염증 상태 확인
- 치석 위치·양·잇몸 염증 여부 등 구강 상태를 먼저 체크합니다.
- 치석 위치·양·잇몸 염증 여부 등 구강 상태를 먼저 체크합니다.
② 치석·세균막 제거(초음파 스케일링)
- 초음파 기구로 치아 표면·잇몸 아래에 쌓인 치석을 제거합니다.
- 초음파 기구로 치아 표면·잇몸 아래에 쌓인 치석을 제거합니다.
③ 치아 표면 폴리싱
- 남아 있는 미세 치태를 제거하고 치아 표면을 매끄럽게 정리합니다.
- 남아 있는 미세 치태를 제거하고 치아 표면을 매끄럽게 정리합니다.
④ 잇몸 상태 재확인 및 관리 안내
- 스케일링 후 잇몸 회복을 위한 생활 습관 및 칫솔질 방법을 안내합니다.
- 스케일링 후 잇몸 회복을 위한 생활 습관 및 칫솔질 방법을 안내합니다.

구강 검사

스케일링

치면 연마

관리 안내
스케일링 후 관리 방법
- - 하루 2~3회 부드러운 칫솔로 양치
- - 일시적인 시림은 자연스러운 반응 (보통 1~3일 내 완화)
- - 너무 뜨겁거나 찬 음식은 잠시 피하기
- - 치간칫솔·치실 등 구강관리 도구 사용하기
- 스케일링은 치료라기보다 예방의 기본입니다.
- 최소 6개월~1년에 한 번 정기 스케일링을 권장합니다.

굿모닝뉴욕치과는 스케일링만 하고 끝내지 않습니다.
환자분 한 분 한 분의 치아와 잇몸 상태에 맞춰, 올바른 칫솔질과 구강 관리 방법을
직접 안내해 드리는 시간을 중요하게 생각합니다.
