자연치아를 오래 지키기 위한 충치치료
정확한 진단을 통해 필요한 만큼만 치료하고, 자연치아 보존을 우선으로 합니다.
충치란 무엇인가요?
충치는 치아 표면이 손상되면서 시작되는 진행성 질환으로, 초기에는 통증이 거의 없어 발견이 늦어지는 경우가 많습니다. 방치될수록 신경까지 염증이 번져 치료 범위가 넓어질 수 있어 초기에 정확한 진단과 적절한 치료가 중요합니다.
- -초기 충치: 치아 표면만 손상 / 통증 거의 없음
- -중기 충치: 온도·음식 민감 / 손상 범위 확대
- -심화 충치: 지속 통증·신경치료 필요 가능

초기

중기

심화
굿모닝뉴욕치과의 충치치료 원칙
자연치아 보존을 중심으로 꼭 필요한 만큼만 치료합니다. 현재 단계와 상태를 정확히 판단하여, 불필요한 삭제를 최소화하고 환자별 상황에 맞춘 치료·관리 계획을 안내합니다.
핵심 원칙 3가지
- -최소삭제(Minimal Intervention) — 손상 부위만 필요한 만큼만 치료
- -충분한 설명과 이해 — 상태와 치료 목표를 이해하고 결정
- -장기적인 치아 건강 고려 — 재발 방지와 관리 방향까지 동반

최소삭제(MI)

충분한 설명과 이해

장기적 치아 건강
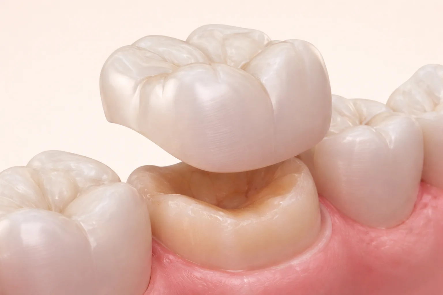
충치 치료 방법
- -레진 — 손상 범위가 작은 초기 충치를 제거 후, 치아 색과 유사한 재료로 치아 표면을 복원하는 방법입니다.
- -인레이/온레이 — 중기 충치처럼 범위가 넓을 경우 사용되는 보존 치료로, 손상된 부분만 제거하고 맞춤 보철물로 복원합니다.
- -크라운 — 치아 손상 범위가 큰 경우 치아 전체를 감싸 보호하는 치료입니다.
- -신경치료 — 충치가 신경까지 진행된 경우 시행하며, 치아를 최대한 살리는 것을 목표로 합니다.
모든 치료는 상태·범위·치근 상태 등에 따라 원장이 직접 상담 후 결정합니다.

레진

인레이/온레이

크라운

신경치료
